Dentist in Marylebone and Bloomsbury
instagram google facebook twitter
I would like to

Teeth Whitening

Not all customers will see these results/results can vary.

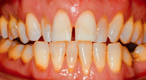
Before
before
After
after

Teeth whitening, anterior crown restorations and composite bonding. Dr Kev Patel

Read more
Before
before
After
after

Teeth whitening followed by anterior porcelain crown restorations. Dr Kev Patel

Read more
Before
before
After
after

Invisalign orthodontic treatment (6 months) followed by a fixed bonded retainer and teeth whitening. Dr Kev Patel

Read more
Before
before
After
after

Invisalign orthodontic treatment (6 months) followed by a fixed bonded retainer and teeth whitening. Dr Kev Patel

Read more
Before
before
After
after

Invisalign Orthodontic Treatment(6 months), Retainers, Composite Bonding, Anterior Crown Restorations. Dr Kev Patel

Read more
Before
before
After
after

Teeth whitening and anterior porcelain crown restorations. Dr Kev Patel

Read more
Before
before
After
after

Invisalign Orthodontics (6 months), Teeth Whitening and Composite bonding. Dr Kev Patel

Read more
Before
before
After
after

Invisalign Orthodontics (4 months), Teeth Whitening and Ultra-thin porcelain veneers on the lateral incisors. Dr Kev Patel

Read more
Before
before
After
after

This patient is an actress and wanted a young, beautiful, and healthy-looking smile without the need to damage any teeth.…

Read more
Before
before
After
after

Invisalign Orthodontics (6 months) and Teeth Whitening. Dr Kev Patel

Read more
Before
before
After
after

Fixed appliance orthodontics (6 months) and Teeth Whitening. Dr Kev Patel

Read more
Before
before
After
after

Fixed Appliance Orthodontics (6 months). Dr Kev Patel

Read more

Testimonials

Google Rating
4.8
Google Rating
google rating